زراعة رأس صناعي لمريضة تعاني من كسر مركب في رأس عظمة الساعد

زراعة رأس صناعي لمريضة تعاني من كسر مركب في رأس عظمة الساعد
مارس 2019م
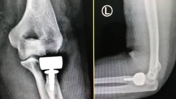
أجريت بمستشفى الخليل خلال الأيام الماضية عملية جراحية لمريضة تبلغ من العمر”35″، تعاني من كسر مركب في رأس عظمة الساعد .
العملية التي أجراها الدكتور” حسين الرجباني”،استشاري جراحة العظام والمفاصل كللت بالنجاح التام بتغير رأس عظمة الساعد برأس صناعي، وأكد الدكتور” الرجباني”، عقب العملية التي استمرت ساعة واحدة بأن هذه العملية من العمليات المعقدة، ولأول مرة تجري في ليبيا.
وأشاد بالجهود التي بذلها الفريق الطبي المرافق له لضمان نجاح العملية، موضحاَ بان حالة المريضة في تحسن ملحوظ وسوف تعافى خلال الأيام القادمة بشكل نهائي وتعود لممارسة حياتها بشكل طبيعي.
أجرى العملية الفريق الطبي المتكون من:-
د.حسين الرجباني استشاري جراحة العظام و المفاصل
د.زكريا شوية مساعد جراح
د.محمد سوامي مساعد جراح
د.إبراهيم الغفود أخصائي التخدير
أ. علي أبوغرارة فني عمليات






